Ich bin Dr. Veronika Walter, Zahnärztin mit über 15 Jahren Erfahrung und einer Leidenschaft für ganzheitliche Zahngesundheit. In meiner Welt geht es nicht nur um Zähne – sondern um das große Ganze.
Deine Zähne erzählen eine Geschichte – über deine Gesundheit, deine Gewohnheiten und oft auch über dein seelisches Wohlbefinden. Ich begleite dich auf einem sanften, natürlichen Weg zu mehr Balance – für gesunde Zähne, mehr Wohlbefinden und ein neues Bewusstsein für deinen Körper.
Gemeinsam finden wir ganzheitliche und effektive Wege, um deine Mundgesundheit zu stärken, Beschwerden als Ganzes zu betrachten und deine Lebensqualität zu steigern.
Zahnärztin
Schwerpunkt Parodontologie
ganzheitlicher Ansatz
auch Online-Zahnärztin
Die Dentosophie ist eine sanfte, ganzheitliche Methode, die die Verbindung zwischen dem Kiefer und dem restlichen Körper betrachtet und ein umfassendes, tiefgehendes Verständnis für die Mund- und Allgemeingesundheit hat. Diese revolutionäre Therapie beruht auf dem Prinzip der Selbstregulation: Der Körper besitzt die Fähigkeit, sich selbst zu harmonisieren und strukturelle sowie funktionelle Ungleichgewichte auszugleichen – und die Dentosophie hilft ihm dabei, wieder in die Balance zu kommen.
Die Dentosophie betrachtet Zähne, Kiefer, Zunge und den gesamten Körper als eine Einheit. Funktionsstörungen im Mundraum können sich auf den gesamten Organismus auswirken – von der Körperhaltung über die Atmung bis hin zum allgemeinen Wohlbefinden. Umgekehrt können emotionale Spannungen und Stress zu Zahn- und Kieferfehlstellungen führen. Die Dentosophie setzt genau hier an und bietet einen sanften Weg, um das natürliche Gleichgewicht auf psycho-emotionaler Ebene wiederherzustellen.
Der Balancer ist ein speziell entwickeltes Gerät, das den Dreiklang aus Atmen, Schlucken und Kauen trainiert. Durch das Tragen des Balancers wird der Kiefer entlastet und neu ausgerichtet, was Blockaden löst und eine Harmonisierung von Körper, Geist und Seele fördert.
Durch regelmäßiges Tragen dieses einfachen, aber effektiven Werkzeugs wird die Muskulatur im Mund- und Kieferbereich stimuliert, die Zunge beim Schlucken an die richtige Position gebracht (nämlich flächig an den Gaumen) und somit das natürliche Kieferwachstum gefördert – dies ist gerade bei Kindern so wichtig, um bestenfalls eine kieferorthopädische Behandlung zu vermeiden.
Das Besondere: Der Balancer wirkt nicht nur mechanisch, sondern beeinflusst über die Nervenbahnen auch andere Körpersysteme – Atemwege, Verdauung und sogar die emotionale Balance.
Die Dentosophie ist für Kinder wie Erwachsene gleichermaßen geeignet und kann schon mit ca. zwei Jahren als Begleitung begonnen werden und ist bis ins hohe Alter möglich. Die Indikationen sind ähnlich und es geht immer darum, die Balance im Körper wieder herzustellen.
Die Dentosophie hilft, diese Defizite zu beheben und bringt den Körper in sein natürliches Gleichgewicht zurück.
Ein falsches Schluckmuster, einseitiges Kauen oder eine Blockade der Schädelsuturen kann die Kieferentwicklung beeinträchtigen, so dass Zähne z.B. nicht durchbrechen können, oder der Gaumen zu schmal bleibt und somit eine Zahnspange nötig wird.
Fehlstellungen im Kieferbereich und vor allem eine falsche Zungenposition beim Schlucken können die Atemwege beeinträchtigen und zu Mundatmung, Schnarchen oder sogar Schlafapnoe führen.
Verspannungen, Kopfschmerzen oder Verdauungsprobleme können durch eine fehlerhafte Kiefer- und Zungenstellung verstärkt werden.
Die Verbindung zwischen Kiefer, Nervensystem und Emotionen ist tiefgreifend. Ohne eine ganzheitliche Regulierung können Stress und emotionale Belastungen zunehmen.
Ein ungleichmäßiger Biss kann sich auf die gesamte Körperstatik auswirken und Fehlhaltungen oder Verspannungen in Schultern, Nacken und Rücken verstärken.
Gerade bei Kindern kommt es durch eine ständige Mundatmung zu immer wiederkehrenden Atemwegs-Infekten. Durch das Training mit dem Balancer wird die Nasenatmung etabliert, was Erkrankungen vorbeugen kann.
Mit über 15 Jahren Erfahrung als Zahnärztin und einer tiefen Leidenschaft für Zahngesundheit verfolge ich einen ganzheitlichen Ansatz, der Körper, Geist und Seele in Einklang bringt. In meiner früheren Praxis PRODENS32 in Regensburg entwickelte ich ein innovatives Prophylaxekonzept und setzte konsequent auf minimalinvasive Therapieformen, um die natürliche Zahnsubstanz zu erhalten. Ich sehe meine Aufgabe nicht nur darin, Schäden zu beheben, sondern ihre Ursachen zu erkennen und nachhaltig zu behandeln.
Meine Patienten schätzen meine klare, strukturierte Herangehensweise ebenso wie mein Feingefühl für individuelle Bedürfnisse. Ich nehme mir Zeit, wirklich zuzuhören und ein ganzheitliches Verständnis für Ihre Gesundheit zu entwickeln. Die Dentosophie ist für mich ein kraftvolles Werkzeug, das über die klassische Zahnmedizin hinausgeht.
Ein neuer Blick auf deine (Mund-)gesundheit – weg von Symptombehandlung, hin zu echter Heilung und Prävention. Ich begleite dich dabei, nicht nur deine Zähne zu stärken, sondern auch dein gesamtes Wohlbefinden zu fördern.
Gemeinsam arbeiten wir daran, Funktion, Ästhetik und emotionale Balance in Einklang zu bringen.
In meiner Begleitung bekommst du nicht nur meine 15 Jahre Erfahrung als Zahnärztin, sondern vor allem mich als Mensch mit einer klaren Vision und tiefem Vertrauen, dass es für alles eine Lösung gibt. Ich bringe meine positive Energie, Herzlichkeit und Offenheit in jede Behandlung ein – denn echte Heilung geschieht, wenn wir den Menschen als Ganzes betrachten.
Ich verbinde medizinische Expertise mit einem tiefen Verständnis für den Menschen – für Zähne, die nicht nur gesund, sondern auch ein Ausdruck von innerem Gleichgewicht und Lebensfreude sind.
Die Dentosophie ist eine wertvolle Investition in die eigene Gesundheit und Lebensqualität. Sie geht weit über die herkömmliche Zahnheilkunde hinaus und unterstützt nicht nur die Funktion des Mundraums, sondern auch die allgemeine körperliche und seelische Balance.
Meine Begleitung findet abseits der normalen Zahnarztpraxis statt, so dass wir uns in Ruhe und ohne störende Geräusche ganz deiner Behandlung widmen können – eine Atmosphäre zum Wohlfühlen und Entspannen.
Da die Dentosophie eine begleitete Autotherapie ist, hängt der Behandlungserfolg von deiner Mitarbeit oder der deines Kindes ab. Ich nehme euch dabei an die Hand und bin jederzeit für euch und eure Fragen da.
Kinder sind neugierig und entdecken die Welt mit ihren Augen. Die einzelnen Termine sind so aufgebaut, dass die kleinen Patienten mit Freude dabei sind.
Die Behandlung von Kindern liegt mir besonders am Herzen. Kinder sollen sich bei mir wohlfühlen und Freude an der Dentosophie haben. Deshalb gestalte ich die Sitzungen altersgerecht und spielerisch, damit die kleinen Patienten die Übungen gerne machen und ohne Druck in die Dentosophie-Therapie integriert werden. Eltern erhalten einfache Anleitungen, um die Dentosophie ganz entspannt in den Alltag einzubauen – ohne zusätzlichen Stress. So wird die Therapie sanft, effektiv und nachhaltig für die gesamte Familie.
Bei Kindern werden 12-24 Monate Behandlungsdauer angesetzt und Kosten in Höhe von ca. 1950 EUR (pro Jahr) eingeplant. Bitte beachte, dass sich die Kosten nicht gleichmäßig auf die Monate verteilen.
Meine Begleitung umfasst mehrere individuell abgestimmte Schritte, um sicherzustellen, dass die Dentosophie optimal in den Alltag integriert wird:
Bei Erwachsenen werden 12-24 Monate Behandlungsdauer angesetzt und Kosten in Höhe von ca. 1950 EUR (pro Jahr) eingeplant. Bitte beachte, dass sich die Kosten nicht gleichmäßig auf die Monate verteilen.
Der Balancer wird (nach einer Eingewöhnungsphase) eine Stunde am Tag und in der Nacht getragen. Zusätzlich gibt es geführte Übungen, die jeden Tag ca. 5 Minuten in Anspruch nehmen. Diese sind das Herzstück der Dentosophie-Therapie zuhause, weil mit ihnen das richtige Atmen, Schlucken und Kauen trainiert wird. Du bekommst eine Anleitung für die Übungen von mir als Audiodatei mit einem QR-Code mit, so dass auch hier alles so einfach wie möglich für dich und dein Kind umsetzbar ist.
Du siehst also, dass sich die Dentosophie sehr leicht in deinen Alltag integrieren lässt. Sie ist ein sanfter, aber wirkungsvoller Weg zu mehr Wohlbefinden und Gesundheit. Ob für Kinder oder Erwachsene – sie bietet eine natürliche Möglichkeit, das Gleichgewicht im Körper wiederherzustellen. Ich begleite dich auf diesem Weg mit Fachwissen, Einfühlungsvermögen und ganzheitlicher Unterstützung.
Ich bin 46 Jahre alt, komme ursprünglich aus Regensburg und lebe heute in Klagenfurt am Wörthersee. Zehn Jahre lang führte ich meine eigene Zahnarztpraxis in Regensburg – immer mit dem Fokus auf Zahnerhalt, Prophylaxe und minimalinvasiven Behandlungen. Dabei war mir wichtig, dass meine Patienten spüren: Sie sind keine Nummer, sondern ich nehme mir Zeit für sie.
2017 führte mich meine eigene gesundheitliche Geschichte zu einem neuen Verständnis von Medizin: Gesundheit ist mehr als die Summe einzelner Symptome. Seither begleite ich meine Patienten ganzheitlich – ich betrachte den gesamten Organismus, empfehle gezielte Nahrungsergänzungsmittel und integriere energetische Arbeit. Meine Behandlungen ergänze ich sehr gerne mit ätherischen Ölen, da diese innerhalb kürzester Zeit in unserem System sind und uns helfen, los zu lassen oder aber auch uns abzugrenzen.
Ich mache meinen Beruf als Zahnärztin mit Leidenschaft, trotzdem habe ich immer schon nach dem fehlenden Puzzleteilchen gesucht, was es mir als Zahnärztin ermöglich, dich abseits des Behandlungsstuhls an die Hand zu nehmen und nicht nur reparativ tätig zu sein. So hat das Universum 2024 die Dentosophie in mein Leben kommen lassen und mir war sofort klar: DAS hat mir immer gefehlt und ergänzt nun all das, was ich bin.
Mich begeistert an der Dentosophie, dass ich den Menschen auf ganzheitlicher Ebene helfen kann und das mit einem non-invasivem Tool, das meinen Patienten in ein psycho-energetisches Gleichgewicht bringt.
Ich bin überzeugt, dass nachhaltige Zahngesundheit nicht isoliert betrachtet werden kann. Mein Ziel ist es, Menschen auf ihrem Weg zu mehr Wohlbefinden zu begleiten – mit einer sanften, ganzheitlichen Methode, die Körper und Geist in Einklang bringt.
Kind, 10 Jahre alt
Anliegen: Mundatmung, Angst vor der Zahnarztbehandlung, Engstand
Charakter: sehr schüchtern
Nach 8 Monaten Dentosophie:
Einstellen des Zahnes 12 immer mehr in den Zahnbogen
Harmonisierung/Ausformung des oberen und unteren Zahnbogens
infantiles Schluckmuster aufgehoben
Weitung beider Kiefer
Nasenatmung etabliert.
Charakter: schon offener, weniger ängstlich.
Kind, 7 Jahre alt
Anliegen: Mundatmung, Zungenfehlfunktion, falsches Schluckmuster, Kreuzbiss, keine feste Bisssituation, Sprachprobleme.
Nach ca. fünf Monaten Dentosophie hat sich der Kreuzbiss überstellt und es entsteht immer mehr Raum.
Infantiles Schluckmuster zum Teil schon aufgehoben.
Weitung beider Kiefer.
Zungenlage verbessert sich.
Erwachsene, 38 Jahre alt
Anliegen: Engstand, Anspannungen, wollte keine Dysgnathie-OP, Kiefergelenksschmerzen, Zähnepressen, Mundatmung
Nach gut 12 Monaten Dentosophie hat sich der Biss gehoben und der Überbiss korrigiert.
Unterkiefer-Front ausgerichtet und harmonisiert.
Keine Mundatmung mehr.
Lippenmuskulatur nicht mehr angespannt.
Ganzes System ist in die Ruhe gekommen.
Erwachsene, 44 Jahre alt
Anliegen: Mundatmung, Kieferknacken, trockener Mund
Zunge liegt nicht richtig.
Nach ca. 6 Monaten Dentosophie:
Bisshebung.
Etablierung der Nasenatmung.
Weitung der Nasenflügel.
Besserer Schlaf.
Retainer im Oberkiefer kam im August auch raus (–> viel leichter und freier)
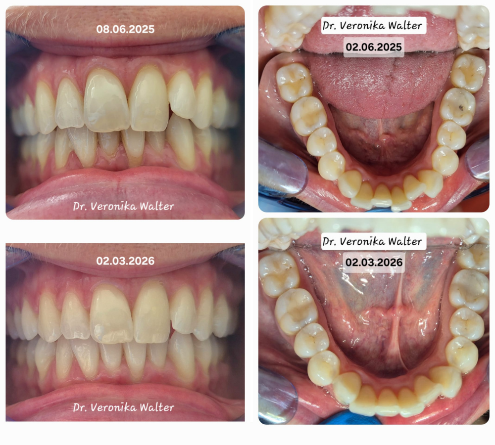
Erwachsene, 45 Jahre alt
Anliegen: in die Balance kommen, Zähne ausrichten, Platz schaffen, „Themen“ aufarbeiten.
Nach ca. 9 Monaten Dentosophie hat sich der Biss gehoben und es entsteht immer mehr Raum.
Oberkiefer Zahn 22 ist weiter in die Zahnreihe integriert.
Weitung beider Kiefer.
Unterkiefer-Front ausgerichtet und harmonisiert.
Charakterlich: bessere Ursachen-Erkennung und bewusstes Setzen von Grenzen